Wizard® Genomic DNA Purification Kit Provides High-Quality Genomic DNA Template for Molecular Phylogenetic Studies on Copepod crustaceans
Research Faculty of Fisheries Sciences, Hokkaido University, Japan.
Publication Date: 2005
Abstract
Of the techniques we tested, we found that the mouse liver and brain protocol from the Promega Wizard® Genomic DNA purification Kit (Cat.# A1120), with minor modification, was best suited for preparing genomic DNA template from copepod crustaceans for nuclear 18S rRNA gene amplification and sequence analysis.
Introduction
Increasing interest in biodiversity has resulted in the need for a rapid method to obtain high-quality nucleic acid templates for PCR amplification. Census of zooplankton diversity is an important subject to clarify productivity in marine ecosystems (1)(2). We show that the Promega Wizard® Genomic DNA Purification Kit (Cat.# A1120) is well suited for preparing genomic DNA template from copepod crustaceans (Figure 1) for nuclear 18S rRNA gene amplification and sequence analysis.
Figure 1. Neocalanus cristatus collected in Oyashio region (Western Subarctic Pacific).
Left (white): Adult male stage VI (ca 10mm in length), Right (red): Stage V copepoda in diapause (ca 10mm in length).
Methods
Genomic DNA was extracted from individual copepod from three Neocalanus species, N. cristatus, N. plumchrus and N. flemingeri. The Wizard® Genomic DNA Purification Kit animal tissue protocols (mouse liver and brain protocol, and mouse tail protocol) were used as described in the Wizard® Genomic DNA Purification Kit Technical Manual, #TM050, with minor modifications. We found that longer incubation periods of the copepod homogenates were needed to obtain efficient amounts of genomic DNA from a single tiny copepod.
Ethanol-preserved copepods were rehydrated in distilled water for 10–12 hours. Rehydrated individual copepods were used for DNA extraction. In the case of the mouse liver and brain protocol (Protocol A), the sample was homogenized with a grinder in 600μl of the chilled Nuclei Lysis Solution and incubated at 65°C for 30 minutes. Using the mouse tail protocol (Protocol B), the sample was homogenized with a grinder in 600μl of EDTA/Nuclei Lysis Solution (120μl of a 0.5M EDTA solution (pH 8.0) to 500µl of Nuclei Lysis Solution), then treated with Proteinase K solution overnight at 55°C. In both protocols, the Nuclei Lysis Solution-treated copepod samples were further treated with RNase Solution for 30 minutes at 37°C and then purified according to the Wizard® Genomic DNA Purification Kit Technical Manual, #TM050.
Results
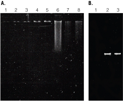
Sufficient amounts of high molecular weight genomic DNA was obtained from the animal tissue protocols of Wizard® Genomic DNA Purification Kit (Figure 2, Panel A; lanes 6–8) and standard phenol/chloroform extraction (3). However, we observed no nuclear 18S rRNA gene amplification products from the genomic DNA template extracted by using the standard phenol/chloroform method (Figure 2, Panel B; lane 1). In contrast, the genomic DNA extracted using the Wizard® Genomic DNA Purification Kit resulted in reproducible amplification of the nuclear 18S rRNA gene (Figure 1, Panel B; lanes 2 and 3). We chose the mouse liver and brain protocol (Protocol A) because there are fewer DNA extraction steps; the protocol used less reagents, and the overall time was shorter than the mouse tail protocol.
Figure 2. Isolation and amplification of genomic DNA from Copepods.
Panel A. Genomic DNA isolated from Copepods using the Wizard® Genomic DNA Purification Kit or a standard phenol/chloroform method. Lanes 1–5, lambda DNA as 5, 10, 20, 30, 40 and 50µg/ml, respectively; lane 6, DNA purified using the standard phenol/chloroform method; Lane 7, DNA purified using the Wizard® Genomic DNA Purification Kit, mouse liver and brain protocol (protocol A); lane 8, DNA purified using the Wizard® Genomic DNA Purification Kit, mouse tail protocol (protocol B). Panel B. A single 1.8kb PCR product was amplified from the 18S rRNA gene using the purified Genomic DNA from Panel A and a universal primer set for eukaryotes (2). Lane 1, phenol/chloroform method; lane 2, protocol A; lane 3, protocol B.
Molecular phylogenetic data of Neocalanus copepods are available in the 10th issue, volume 26, of Journal of Plankton Research (2).
Related Products
Related Protocols
Related Resources
Frequently Asked Questions
Article References
- Bucklin, A. et al. (1995) Molecular systematics of six Calanus and three Metridia species (Calanoida: Copepoda). Mar. Biol. 121, 655–64.
- Taniguchi, M. et al. (2004) Molecular phylogeny of Neocalanus copepods in the subarctic Pacific Ocean, with notes on non-geographical genetic variations for Neocalanus cristatus. J. Plankton Res. 26, 1249–55.
- Braga, E. et al. (1999) Mitochondrial and nuclear rRNA based copepod phylogeny with emphasis on the Euchaetidae (Calanoida). Mar. Biol. 133, 79–90.
How to Cite This Article
Scientific Style and Format, 7th edition, 2006
Sawabe, T. and Ikeda, T. Wizard® Genomic DNA Purification Kit Provides High-Quality Genomic DNA Template for Molecular Phylogenetic Studies on Copepod crustaceans. [Internet] 2005. [cited: year, month, date]. Available from: https://at.promega.com/resources/pubhub/enotes/wizard-genomic-dna-purification-kit-provides-high-quality-genomic-dna-template-for-molecular/
American Medical Association, Manual of Style, 10th edition, 2007
Sawabe, T. and Ikeda, T. Wizard® Genomic DNA Purification Kit Provides High-Quality Genomic DNA Template for Molecular Phylogenetic Studies on Copepod crustaceans. Promega Corporation Web site. https://at.promega.com/resources/pubhub/enotes/wizard-genomic-dna-purification-kit-provides-high-quality-genomic-dna-template-for-molecular/ Updated 2005. Accessed Month Day, Year.
Wizard is a registered trademark of Promega Corporation.
Products may be covered by pending or issued patents or may have certain limitations. Please visit our Web site for more information.