BenchTop pGEM® DNA Markers

Part Numbers: G7521

Banner promoting iGEM Sponsorship 2026 with illustration of researchers in a laboratory
customize-this-small

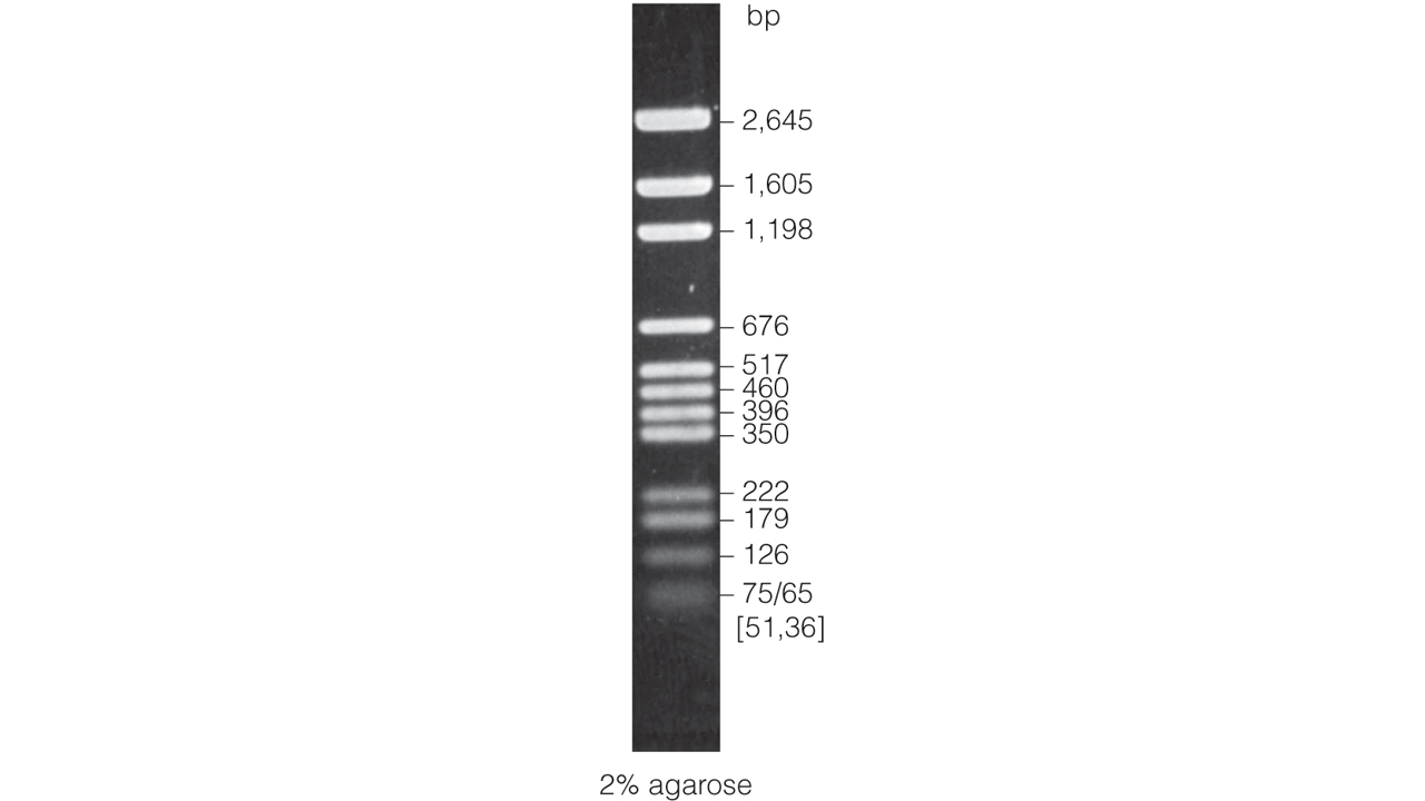
Fifteen DNA Fragments of 36–2,645bp, Combined From Three Separate Digests of pGEM®-3 Vector

  • Store at room temperature (22–25°C)
  • Premixed with loading buffer; ready to load onto agarose gels
  • Load 5μl/lane

Größe

Ausgewählte Katalognummer: G7521

Your price:
Add to Cart
This product is discontinued
Add to Helix
This product is available under our Early Access program - Learn More
This product is available under our Catalog (FT) program - Learn More
BenchTop pGEM® DNA Markers
250μl
Your price: Anmelden

BenchTop DNA Markers offer the convenience of storage at room temperature (22–25°C) as well as the capability of direct loading onto agarose gels. The BenchTop DNA Markers are supplied in a stabilizing solution of 1X Blue/Orange Loading Dye, making the markers ready to load.

The BenchTop pGEM® DNA Markers have 15 phenol-extracted, ethanol-precipitated DNA fragments ranging in size from 36bp to 2,645bp. These unique markers are generated from separate digests of pGEM®-3 Vector DNA with HinfI, RsaI and SinI later combined to form the markers.

Now shipping at ambient temperature. Learn more about the quality testing in the white paper.

Download the White Paper

Eigenschaften

Lieferumfang

Produkt Katalognummer Größe

BenchTop pGEM® DNA Markers

G752A 1 × 250μl

Analysezertifikat

Search by lot number

Nutzungseinschränkung

For Laboratory Use. Outside of the United States, this product is intended for research use only unless otherwise stated.

Lagerhinweise

HH

Store at 22–25°C.

Let's find the product that meets your needs.

Talk to a Scientist

scientist-uk-angus

Angus

UK