BenchTop 1kb DNA Ladder

Part Numbers: G7541

Banner promoting iGEM Sponsorship 2026 with illustration of researchers in a laboratory
qPCR-Workshop zur richtigen Anwendung für mehr Routine im Laboralltag. Blauer Banner mit DNA-Strang-Motiv, Workshop von Promega und Analytik Jena am 23.–24. Juni 2026.

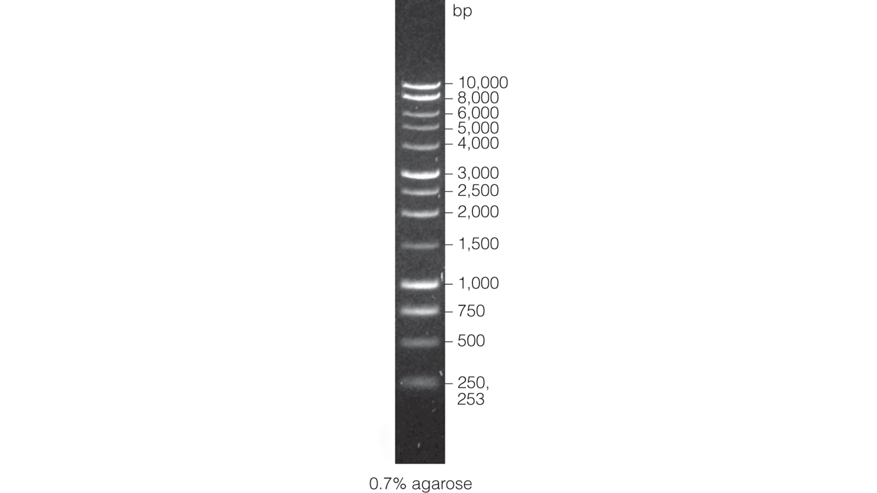
Thirteen Blunt-Ended Fragments of 250–10,000bp

  • Store at room temperature (22–25°C)
  • Premixed with loading buffer; ready to load onto agarose gels
  • Load 6μl/lane

Größe

Ausgewählte Katalognummer: G7541

Your price:
Add to Cart
This product is discontinued
Add to Helix
This product is available under our Early Access program - Learn More
This product is available under our Catalog (FT) program - Learn More
BenchTop 1kb DNA Ladder
600μl
Your price: Anmelden

BenchTop DNA Markers offer the convenience of storage at room temperature (22–25°C) as well as the capability of direct loading onto agarose gels. The BenchTop DNA Markers are supplied in a stabilizing solution of 1X Blue/Orange Loading Dye, making the markers ready to load.

The BenchTop 1kb DNA Ladder has 13 blunt-ended fragments with sizes ranging from 250bp to 10,000bp. The 1,000bp and 3,000bp fragments have increased intensity relative to the other bands on ethidium bromide-stained agarose gels for easy identification. All other fragments are of equal intensity. The ladder is dephosphorylated and ready for 5´ end-labeling with radioisotopes using T4 Polynucleotide Kinase, allowing visualization by autoradiography.

Now shipping at ambient temperature. Learn more about the quality testing in the white paper.

Download the White Paper

Eigenschaften

Lieferumfang

Produkt Katalognummer Größe

BenchTop 1kb DNA Ladder

G754A 1 × 600μl

Analysezertifikat

Search by lot number

Nutzungseinschränkung

For Laboratory Use. Outside of the United States, this product is intended for research use only unless otherwise stated.

Lagerhinweise

HH

Store at 22–25°C.

Let's find the product that meets your needs.

Talk to a Scientist

scientist-uk-stephen

Stephen

UK